Çalışma Saatleri

  • Hafta İçi

    09:00 - 18:00

  • Hafta Sonu

    10:00 - 17:00

Bademcik Taşı (Tonsillolit)

Bademcik Taşı (Tonsillolit)

Bademcik Taşı (Tonsillolit)

Boğazımızın her iki yanında bulunan lenfoid dokudan oluşan organlardır. Lenfatik sistemdeki diğer organlar gibi, bademcikler de bağışıklık sisteminin bir bölümünü oluştururlar ve enfeksiyona karşı vücudu koruma görevinde rol alırlar.

Bademcik Nedir?

Boğazımızın her iki yanında bulunan lenfoid dokudan oluşan organlardır. Lenfatik sistemdeki diğer organlar gibi, bademcikler de bağışıklık sisteminin bir bölümünü oluştururlar ve enfeksiyona karşı vücudu koruma görevinde rol alırlar. Özellikle çocukluk çağında burun ve ağız yolu ile vücuda giren bakteriler, virüsler gibi hastalandırıcı maddeleri yakalayıp, onları bağışıklık sistemi tarafından tanınıp savaşması sürecine katılırlar. Bu organlar çocuklarda, erişkine göre çok daha büyük ve aktiftir. 5 yaşından itibaren kemik iliği bademciğin görevini üstlendikçe bademciklerin korunmadaki rölü azalmaktadır.

Tonsillolith (Bademcik taşı) Nedir?

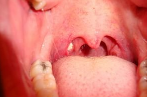
Bademcik taşı (Tonsillolith); bademcik ceplerinde görülen sarı/beyaz renkte, kötü kokulu partiküllerdir. Bademcikler düzensiz yüzeyli pürüzlü organlardır. Üzerlerinde çok sayıda Crypts adında çukurlar ve boşluklar bulunur. Dökülen mukoza hücreleri, yemek parçaları ve bademcik iltihabi kalıntıları tükürükle yutulurken bazı şanssız kişilerde bademciklerdeki çukurlarda birikip topaklaşarak kitle haline gelir (Resim 1). Ölü hücrelerden oluşan bu kitle bakteriler için mükemmel bir besindir. Ağız içinde koloniler halinde yaşayan değişik türlerde bakteriler olduğunu bildiğimize göre kokunun nereden geldiğini anlamakta zor olmayacaktır.

Tonsillolith’te (Bademcik Taşı) Ne Gibi Şikayetler Gözlenir?

Bademcik taşı en sık olarak ağızdan kötü koku (Halitozis) şikayetine sebep olabilir. Ayrıca sık tekrarlayan bademcik iltihaplarına (Rekuren Tonsillit) neden olabilmektedir.

Tonsillolith (Bademcik Taşı) Tanısı Nasıl Konur?

Bademcik taşı Kulak burun Boğaz hekimi tarafından yapılan muayenede kolay tespit edilebilmektedir ve özellikli bir tetkik veya tahlil yapılmasına gerek yoktur.

Tonsillolith (Bademcik Taşı) Tedavisi Nedir?

Bademcik taşı için öncelikle ılık su veya özel ağız bakım solüsyonlarıyla gargara yaparak giderilmesi önerilse de sıklıkla bu etkili olmamaktadır. Hem anatomik yatkınlık hem de Uzun süredir bademciklerde birikerek iyice yerleşmiş olmaları nedeniyle bademcik taşlarını basit gargaralarla çıkarılması zordur. Hatta bazı dirençli olgularda bademciklerin ameliyatla alınması (tonsillektomi) da gerektiği oluyor.